Fratura por estresse na tíbia
- 30 de abr. de 2023
- 17 min de leitura
Paciente de 31 anos, do sexo feminino, apresentando dor no terço proximal da tíbia esquerda após iniciar treino para participar de meia maratona. Solicitada ressonância magnética (RM) da perna:

Figura 1 (a-b): RM da perna esquerda no plano coronal nas ponderações STIR (1a) e T1 (1b).
Vídeo da RM da perna esquerda no plano transversal nas ponderações STIR e T1.

Figura 2 (a-b): Imagens de RM da perna esquerda no plano transversal nas ponderações STIR (2a) e T1 (2b).
Após 2 meses sem atividade física a paciente melhorou da dor e foi solicitada tomografia computadorizada (TC) da perna para reavaliação:
Vídeo da TC da perna esquerda 2 meses após a realização da RM no plano coronal.

Figura 3: Imagens consecutivas de reconstrução tomográfica com a técnica MPR no plano coronal de anterior para posterior.

Figura 4: Imagens consecutivas de reconstrução tomográfica com a técnica MPR no plano sagital.
Vídeo da TC da perna esquerda 2 meses após a realização da RM no plano transversal.

Figura 5 (a-b): Imagens consecutivas de reconstrução tomográfica com a técnica MPR no plano transversal – à direita imagem no plano sagital indicando o plano do corte das imagens 5a e 5b.
Descrição dos achados

Figura 1 (a-b)’: RM da perna esquerda no plano coronal nas ponderações STIR (1a’) mostrando traço de fratura na diáfise proximal da tíbia (seta branca) com edema ósseo e edema periosteal (seta amarela) adjacente e T1 (1b’) onde também se nota o traço de fratura (setas vermelhas).

Figura 2 (a-b)’: Imagens de RM da perna esquerda no plano transversal nas ponderações STIR (2a’) mostrando o extenso edema periosteal (setas amarelas) e o edema ósseo (seta branca) e T1 (2b’) onde também há alteração do sinal na medula óssea (seta vermelha).
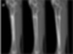
Após 2 meses sem atividade física a paciente melhorou da dor e foi solicitada tomografia computadorizada (TC) da perna para reavaliação:

Figura 3’: Imagens consecutivas de reconstrução tomográfica com a técnica MPR no plano coronal de anterior para posterior mostrando a fratura em processo de consolidação como faixa esclerótica (setas brancas) com reação periosteal adjacente.

Figura 4’: Imagens consecutivas de reconstrução tomográfica com a técnica MPR no plano sagital mostrando a fratura em processo de consolidação como faixa esclerótica (setas brancas).

Figura 5 (a-b)’: Imagens consecutivas de reconstrução tomográfica com a técnica MPR no plano transversal mostrando melhor a reação periosteal com formação de calo ósseo secundário ao processo de consolidação da fratura (setas amarelas) – à direita imagem no plano sagital indicando o plano do corte das imagens 5a’ e 5b’.
Discussão
As fraturas podem ser subdivididas em traumáticas e atraumáticas (ou minimamente traumáticas), consideradas aquelas decorrentes de um mecanismo de baixa energia que usualmente não seria um causador de fratura, o que incluiria aquelas relacionadas a estresse repetitivo e as fraturas patológicas relacionadas a neoplasias e alterações do metabolismo, por exemplo. Embora de etiologias diferentes, as fraturas atraumáticas têm em comum o fato do osso, um órgão dinâmico, apresentar um desequilíbrio no ciclo do remodelamento.
A variedade de termos para descrever as fraturas atraumáticas (como fraturas por estresse, fadiga, insuficiência, fragilidade e patológicas) dificulta o entendimento, a comunicação e as classificações desse tipo de fratura. Embora não exista consenso, e alguns preconizem colocar mais de um tipo de fratura dentro de um mesmo termo, em geral as terminologias costumam ser associadas a determinadas situações.
A fratura por estresse faz parte do espectro da reação por estresse ou fadiga, um problema que tem crescido na medida em que aumenta a popularidade de certas práticas esportivas, sendo responsável por cerca de 10 a 20% das lesões no esporte, podendo chegara até 30% em corredores, e que representa uma reação normal do osso como resposta a um estresse anormal repetitivo. Ocorre em um osso normal submetido a um determinado estresse repetitivo focal quando há aumento na frequência, duração e/ou intensidade da atividade. Alguns autores fazem distinção entre a fratura por estresse da fratura por fadiga, considerando que o fator causal da fratura por estresse seria o aumento da carga ou frequência, como o que ocorre em corredores amadores que subitamente aumentam a intensidade do treino, ou atletas profissionais em época de competição, enquanto a fratura por fadiga seria por aumento da duração, como a fratura metatarsal em recrutas militares, conhecida como “fratura da marcha”. Entretanto, a maioria se refere às reações de estresse e fadiga como sinônimos.
As fraturas por insuficiência ocorrem quando um estresse repetitivo é aplicado em um osso anormalmente fraco. Muitos usam o termo fratura por insuficiência como sinônimo de fratura por fragilidade, mas alguns autores fazem distinção entre esses tipos de fratura, reservando a fratura por fragilidade para as fraturas osteoporóticas, em que nem sempre há a aplicação de estresse repetitivo, podendo ser secundária a aplicação de uma carga isolada.
Padrões similares podem ser observados tanto nas fraturas traumáticas quanto atraumáticas, assim como nas fraturas por estresse e por insuficiência, que em alguns casos estão interligadas, como na tríade das mulheres atletas, caracterizada por distúrbios alimentares, amenorreia e osteoporose, em que há uma sobreposição de sobrecarga por estresse em conjunto com algum grau de insuficiência óssea.
A fratura patológica costuma estar relacionada à fratura que ocorre no sítio de alguma neoplasia óssea, benigna ou maligna, como cistos ósseos e metástases osteolíticas, em que a ocupação da cavidade medular predispõe a fraturas, que podem estar relacionadas ou não a algum evento traumático, geralmente de baixa energia. Entretanto, alguns autores ampliaram essa definição para lesões ósseas não neoplásicas, como osteomielite e doença de Paget, por exemplo, considerando a fratura patológica como a fratura que ocorre no local de qualquer lesão óssea focal, neoplásica ou não.
Fisiopatologia das reações por estresse em geral
O osso é organizado basicamente em duas macroestruturas, o osso cortical ou compacto, e o osso trabecular, esponjoso ou medular, referido nos textos em inglês também como “cancellous” (figura 6).

Figura 6: Ilustração da anatomia óssea, mostrando o osso cortical e o osso trabecular.
A proporção relativa de cada tipo de osso (cortical ou medular) depende da forma de cada osso, sua localização e a variação das forças a que ele é submetido. Na diáfise dos ossos longos, como a tíbia, há predominância do osso cortical.
Os ossos são expostos a uma variedade muito grande de forças: compressivas, torcionais, de tensão, tração, cisalhamento e forças combinadas, conforme ilustrado na página NOTAS & MEDIDAS / OUTROS- TIPOS DE FORÇA MECÂNICA SOBRE OS OSSOS.
A resposta do osso ou qualquer outra estrutura às forças mecânicas é determinada basicamente pela habilidade do material em absorver a carga mecânica e em deformar (alterar suas dimensões) sem sofrer lesão, conforme visto na figura 7.

Figura 7: Gráfico ilustrando o efeito da sobrecarga mecânica (eixo x) em relação à deformação do osso (eixo y). Inicialmente, ao receber uma carga, o osso mantém a sua capacidade elástica de sofrer algum grau de deformação e retornar à forma original após cessar a carga (zona elástica em verde, com efeitos reversíveis). Após um determinado ponto (P), a carga suplanta a capacidade plástica e o osso começa a sofrer microdanos corticais acumulados (zona plástica, em laranja), que ao excederem a capacidade reparativa do osso atingem o ponto de falência (F), quando ocorre a fratura (zona de falência, em vermelho).
A reação por estresse no osso é decorrente da incapacidade do osso em tolerar uma carga mecânica repetitiva, o que resulta em dor local. Inicialmente, o osso deforma dentro da sua capacidade elástica, retornando à forma original após a retirada da carga. O estresse tibial é decorrente de microdanos corticais acumulados que se formam quando a carga deforma o osso além da sua capacidade elástica. Já as fraturas ocorrem quando os danos acumulados excedem a capacidade de reparo do osso (no caso das fraturas por fadiga, estresse ou insuficiência), quando uma força única excede a carga da zona de falência do osso (fraturas traumáticas) ou quando ocorre uma combinação dessas duas situações.
A lei de Wolff descreve como o osso se adapta ao estresse mecânico: no sítio dos microdanos iniciais secundários à deformação há ativação de osteoclastos que formam áreas de reabsorção óssea, ativando osteoblastos que iniciam a deposição de osso novo nas cavidades formadas pela reabsorção, sendo que o ciclo completo do remodelamento ósseo pode durar de 2 a 8 meses. Um dado importante é que o remodelamento ósseo é diferente entre o osso cortical e o trabecular. Apenas o osso cortical é associado a inflamação no periósteo adjacente, enquanto o remodelamento do osso trabecular está associado a reorientação das trabéculas ósseas de acordo com a direção das forças aplicadas de forma a permitir que o osso suporte melhor a carga recebida. No desequilíbrio no processo de reparo o osso não consegue ter tempo suficiente para reparar os microdanos adequadamente antes da aplicação de novo estresse.
A fratura por estresse ocorre como resultado de carga cíclica acumulativa ocasionada por aumento de carga, seja na intensidade, frequência e/ou duração, que excede a capacidade do osso em reparar os microdanos sofridos via o ciclo normal do remodelamento e que pode sofrer contribuição de fatores intrínsecos (como características anatômicas, metabólicas e hormonais, como a deficiência de vitamina D, sexo feminino, qualidade do osso, marcha e alongamento muscular) e extrínsecos, que podem ser subdivididos em biológicos (medicamentos e deficiências nutricionais) e mecânicos (regime do treinamento, características do solo, equipamentos e calçados inapropriados).
Muitos ossos podem ser afetados pelas lesões por estresse dependendo do tipo de atividade e das forças atuantes sobre o osso, com os ossos dos membros inferiores os mais acometidos, principalmente, em ordem decrescente de frequência, a tíbia, calcâneo, metatarsos e o fêmur proximal, sendo as atividades mais frequentes as exercidas por recrutas militares e nos corredores em geral. Veja na página NOTAS & MEDIDAS / OUTROS o quadro com os ossos mais acometidos pela reação de estresse e as atividades comumente relacionadas.
Os exames por imagem são úteis para detectar a presença de fratura e excluir outras causas, como lesões miotendíneas e tumor, sendo que os achados de imagem das fraturas por estresse são determinados predominantemente pela proporção relativa de osso cortical e osso trabecular e a cronicidade da lesão.
Em ossos com grande proporção de osso trabecular, como as metáfises dos ossos longos, o achado inicial é a obliteração sutil e tênue esclerose das trabéculas ósseas, que progride para esclerose linear intramedular secundária à formação de microcalos ósseos ao longo das trabéculas que sofreram remodelamento por resposta ao estresse (figura 8).

Figura 8 (a-b): Radiografias de pacientes distintos mostrando diferentes formas de apresentação da reação de estresse em radiografias do tornozelo de ossos com predomínio de osso trabecular. Em a radiografia na incidência anteroposterior da região metafisária distal da tíbia mostrando a obliteração das trabéculas identificada como área esclerótica (pontas de seta pretas) e discreta reação periosteal adjacente (seta branca). Em b radiografia em perfil mostrando a reação de estresse como imagem linear esclerótica no calcâneo (pontas de seta brancas). Modificado de Imaging Features and Management of Stress, Atypical, and Pathologic Fractures. Radiographics. 2018 Nov-Dec;38(7):2173-2192.
Já nos ossos com maior proporção de osso cortical, como as diáfises dos ossos longos, o achado radiográfico inical é o chamado “sinal da córtex cinza”, referente a discreta radiolucência cortical no sítio dos microdanos secundários à deformação onde ocorre a ativação de osteoclastos que formam áreas de reabsorção óssea (figura 9).

Figura 9: Radiografia da diáfise média da tíbia na incidência anteroposterior de paciente com reação de estresse caracterizada por reação periosteal (seta) e endosteal (seta curva) associada a áreas corticais de radiolucência.
Retirado de musculoskeletalkey.com/imaging-of-stress-fractures.
Posteriormente, na medida em que a cascata de reparação se inicia, há reação periosteal e formação de calo ósseo endosteal e espessamento cortical. Nos casos mais avançados surge linha de fratura evidente, que pode progredir caso o estresse seja mantido, ou consolidar. Cominução e deslocamento não são achados comumente relacionados às fraturas por estresse.
As fraturas por estresse podem ser estratificadas como de baixo ou alto risco, o que ajuda na definição da conduta, seja na escolha do tratamento mais apropriado como no tempo necessário para que o paciente possa voltar às suas atividades. Felizmente, a maioria das fraturas por estresse são de baixo risco, em regiões submetidas a forças compressivas, que respondem bem à retirada do fator de estresse. Já as fraturas que ocorrem em áreas com pouca vascularização ou submetidas a forças de tensão são consideradas de alto risco porque têm maior chance de evoluir para fratura completa ou complicar com retardo de consolidação, necessitando de uma abordagem mais agressiva, com parada da atividade e retirada da carga e, em casos selecionados, até de tratamento cirúrgico (quadro 1).

Quadro 1: Fraturas por estresse de baixo e alto risco.
Síndrome do estresse tibial
A tíbia é o osso mais frequentemente acometido nas reações e fraturas por estresse, com a síndrome do estresse tibial sendo responsável por até 75% dos casos de dor após o exercício e sua incidência é estimada em 35% nos recrutas militares e em 13 a 20% dos corredores, mas é comum também no basquete e em bailarinos. Estudos recentes apontam o estresse tibial como a lesão mais comum em corredores. Geralmente ela é decorrente de falhas no treinamento, como aumento súbito da intensidade, como ocorreu no caso desta paciente.
O diagnóstico da síndrome do estresse tibial é clínico, sendo a apresentação típica a de paciente jovem, ativo e previamente hígido, apresentando desconforto ou dor localizada que melhora com repouso e que pode estar associada a edema nas partes moles em correspondência.

Um teste criado para o diagnóstico de fratura por estresse na tíbia é o “hop test”, que apresenta sensibilidade de 100% e especificidade de 45%, sendo um teste útil para triagem e que consiste em pedir para o paciente ficar de pé apenas sobre a perna sintomática, e saltar o mais alto que conseguir mantando a outra perna fora do chão. Embora não seja um teste definitivo, se o paciente conseguir realizar o movimento sem dor poderia ser afastada a hipótese de fratura por estresse.
O acometimento das reações por estresse na tíbia pode ocorrer nas porções anterior ou posteromedial, sendo importante essa distinção devido às diferenças no prognóstico, já que as fraturas na região anterior são consideradas de alto risco.
Embora as fraturas por estresse possam ser identificadas nas radiografias, na tomografia computadorizada, cintilografia óssea e até na ultrassonografia, o padrão ouro para o diagnóstico é a ressonância magnética, que apresenta sensibilidade de 100%. Entretanto, é importante reconhecer o aspecto da reação de estresse nos demais métodos de imagem, já que muitas vezes eles são solicitados de maneira equivocada ou a suspeita clínica inicial pode não ser a de reação de estresse, além de alguns casos iniciais com poucos sintomas poderem ser detectados como achados incidentais em exames realizados por outros motivos.
Radiografias
A sensibilidade do RX para fraturas por estresse na fase inicial é de apenas 15 a 35%, aumentando para 30 a 70% nas fases mais tardias.
Um ponto importante já abordado anteriormente é que a reação de estresse pode se manifestar como área de esclerose ou com discreta reação periosteal e áreas radiolucentes secundárias a reabsorção óssea nas radiografias simples, não devendo ser confundido com outras situações que cursam com reação periosteal e áreas líticas, como infecção e tumor. Além disso, a linha de fratura pode apresentar orientação longitudinal ou transversal (figuras 11 e 12).

Figura 11 (a-b): Radiografia simples da tíbia nas incidências anteroposterior (a) e lateral (b) de paciente com fratura por estresse mostrando elevação periosteal ao longo do córtex anterolateral da tíbia (setas brancas), observando-se na incidência lateral traço de fratura transversal (seta amarela) com reação periosteal adjacente. Modificado de musculoskeletalkey.com/imaging-of-stress-fractures.

Figura 12 (a-b): Radiografia simples do fêmur na incidência anteroposterior de paciente com fratura por estresse mostrando linha de fratura radiolucente (setas brancas) cortical medial orientada ao longo do eixo longitudinal do osso. Modificado de musculoskeletalkey.com/imaging-of-stress-fractures.
Tomografia computadorizada
Os achados tomográficos são semelhantes aos descritos nas radiografias, também não sendo o método de eleição para o diagnóstico e acompanhamento da reação / fratura de estresse, devendo ser levado em conta o fato de que os pacientes que apresentam esse quadro costumam ser jovens e devemos evitar o uso de radiação ionizante sempre que possível. O remodelamento cortical pode se manifestar na TC como áreas de menor densidade secundárias à atividade osteoclástica que leva a reabsorção óssea, dando um aspecto de estriações corticais. O papel da TC costuma ser reservado para os casos duvidosos e na suspeita de retardo de consolidação, já que o calo ósseo é mais bem avaliado nas radiografias e na TC em comparação com a RM.
Cintilografia óssea
A cintilografia é um método tão sensível como a RM, porém é pouco específico. Nas fases iniciais da reação de estresse há captação do radiotraçador apenas na fase tardia, geralmente como uma área irregular e mal definida de hipercaptação. Já no caso de haver progressão para fratura, há captação do radiotraçador em todas as três fases do estudo na fase aguda, que costuma se apresentar como uma área focal ou fusiforme bem delimitada. Essa característica foi usada para a diferenciação entre a reação por estresse e a fratura por estresse no passado, mas sua utilização acabou sendo substituída pela ressonância magnética devido à sua baixa especificidade. Entretanto, não é tão infrequente encontrarmos reação/fratura por estresse em pacientes oncológicos que são submetidos à cintilografia óssea por suspeita de progressão da doença de base, e o conhecimento da apresentação das reações de estresse é importante para evitar erros diagnósticos, como confundir uma área de estresse com surgimento de metástase.
Ultrassonografia
Embora a ultrassonografia não seja um método para avaliação óssea, pode ocorrer a situação de o médico assistente solicitar ultrassom para pacientes com dor na perna, principalmente idosos, em que fratura por estresse não é a hipótese principal, com indicação de estiramento da panturrilha, rotura de cisto de Baker ou trombose venosa profunda, por não valorizar alguma mudança na atividade do paciente, como aumento de caminhadas, por exemplo. Nesses casos, a identificação de reação periosteal ou irregularidade cortical deve levantar a suspeita de reação de estresse, devendo ser sugerida a complementação com ressonância magnética para confirmação diagnóstica.
Ressonância magnética
A RM é o método de escolha para o diagnóstico e controle evolutivo das reações e fraturas por estresse, embora exista a limitação dos microdanos corticais, a manifestação mais precoce da reação de estresse, não serem identificados na RM em muitos casos. Os achados típicos encontrados na RM são o edema periosteal e na medula óssea nas sequências sensíveis a líquido, a reação periosteal e endosteal e, nos casos mais avançados, o traço de fratura cortical que pode se estender à região medular.
In 1995 Fredericson et al. propuseram uma classificação para os achados da reação de estresse na RM, posteriormente validado e modificado por Kijowski et al. que compararam os graus descritos por Fredericson com a evolução clínica, subdividindo o grau 4 em dois subtipos. Ao longo dos anos, foram propostas outras modificações da classificação original de Fredericson, sendo que todas se baseiam na progressão habitual das reações de estresse.
Inicialmente há apenas edema periosteal que pode ser bem sutil, sem alteração visível cortical ou na medula óssea. Caso o paciente persista com a atividade física, além do edema periosteal se associa edema na medula óssea. Dependendo da intensidade, inicialmente o edema pode ser detectado apenas nas sequências sensíveis a líquido (STIR e DP ou T2 com supressão de gordura), sem expressão na ponderação T1, porém com a progressão, é possível também observar o edema tanto como hipersinal nas sequências sensíveis a líquido quanto hipossinal em T1. Como resposta ao estresse, começa a surgir atividade reparativa cortical mediada pelos osteoblastos e osteoclastos, com o remodelamento ósseo alterando o aspecto normal de baixo sinal cortical em todas as sequências. Geralmente, as alterações corticais são acompanhadas de edema na medula óssea, que costuma ser mais extenso em comparação com as alterações corticais. O remodelamento ósseo acelerado e progressivo pode levar à fratura, que se estende do córtex para a medula óssea, geralmente acompanhada de edema ósseo, periosteal e nos tecidos adiposos adjacentes, e em alguns casos há também edema muscular.
As diversas classificações se baseiam na fisiopatologia da reação de estresse estão sumarizadas no quadro 2.

Quadro 2: Principais classificações das reações por estresse.
Alguns autores levam em conta os sintomas e as características da fratura, como a proposta por Kaeding e Miller:
Grau I – ausência de dor – reação de estresse assintomática
Grau II – dor – reação de estresse sintomática
Grau III – dor – linha de fratura sem deslocamento
Grau IV – dor – linha de fratura com deslocamento ≥ 2 mm
Grau V – dor – não união da fratura
Porém, essa classificação não é muito usada já que o deslocamento e a pseudoartrose são infrequentes nas fraturas por estresse.
Lee já leva em conta a extensão do edema ósseo:
Grau I – extensão de 0 a 24%
Grau II – extensão de 25 a 74%
Grau III – extensão de 75 a 100%
Nas reações de estresse na tíbia é comum a observação de periostite no local da lesão óssea, geralmente em correspondência com o local de fixação do sóleo, flexor longo dos dedos e tibial posterior, e pode ser unilateral ou bilateral. No caso do acometimento bilateral, pode tanto ser simétrico, como ocorrer em locais e estágios diferentes, que nem sempre se correlacionam bem com o quadro clínico, existindo relatos de o lado mais sintomático poder ter estágio menos avançado em comparação com o contralateral com menos ou até mesmo não apresentar nenhum sintoma.
Apesar de não haver consenso na literatura, diversos trabalhos encontraram correlação entre o grau da reação de estresse e o retorno às atividades, embora o número de dias varie entre os autores e a localização da lesão. Em geral, fraturas em ossos com predomínio trabecular tendem a apresentar maior tempo de recuperação em comparação com aqueles com predomínio cortical.
Diagnósticos diferenciais
Geralmente o quadro clínico e o aspecto de imagem são típicos, e o diagnóstico costuma ser feito sem grandes dificuldades, mas existem casos que podem ser mais desafiadores, ou porque a história pode não ser clara, ou porque os exames de imagem podem ser solicitados em fases muito precoces, com achados sutis, ou já em processo de consolidação. Além disso, dependendo do tipo de exercício e do retorno precoce às atividades, reações de estresse em graus diferentes podem coexistir no mesmo osso ou pode haver o acometimento de ossos diferentes, e algumas alterações podem ser concomitantes com uma reação de estresse. As situações que podem mimetizar reação ou fratura de estresse seriam:
Neoplasias (tumores ósseos e periosteais) – a história, localização típica, ausência de destruição óssea e massa nas partes moles são dados que ajuda, mas em alguns casos a distinção pode ser impossível. Um dado importante é que o histopatológico da reação de estresse também pode ser confundido com neoplasia maligna (especialmente osteossarcoma), sendo recomendável nos casos duvidosos inicialmente o controle evolutivo com o paciente afastado das atividades físicas.
Osteoma osteoide
Periostite
Infecção
Alterações miotendíneas e síndrome compartimental
Claudicação intermitente de causa vascular
O tratamento da síndrome do estresse tibial é geralmente conservados, com repouso e modificação dos treinos visando redução da sobrecarga sobre a tíbia, sendo que o tempo de repouso varia de acordo com a gravidade das alterações.
Leitura sugerida
Nussbaum ED, King C, Epstein R, Bjornaraa J, Buckley PS, Gatt CJ Jr. Retrospective Review of Radiographic Imaging of Tibial Bony Stress Injuries in Adolescent Athletes With Positive MRI Findings: A Comparative Study. Sports Health. 2023 Mar-Apr;15(2):244-249. doi: 10.1177/19417381221109537.
Daher M, Aouad D, Kortbawi R, Ayoubi R, Kortbawi C. Atraumatic Isolated Stress Fracture of the Distal Tibial Metaphysis in a Pre-menopausal Patient: A Case Report. Cureus. 2023 Jan 22;15(1):e34068. doi: 10.7759/cureus.34068.
Borici N, Kushare I. An assessment of the diagnosis, treatment, and outcomes of lower extremity stress fractures in pediatric and adolescent populations. Phys Sportsmed. 2022 Nov 15:1-10. doi: 10.1080/00913847.2022.2143247. Epub ahead of print. PMID: 36328959.
Tan DS, Cheung FM, Ng D, Cheung TLA. Femoral neck stress fracture and medial tibial stress syndrome following high intensity interval training: A case report and review of literature. World J Clin Cases. 2022 Aug 16;10(23):8323-8329. doi: 10.12998/wjcc.v10.i23.8323.
Hoenig T, Tenforde AS, Strahl A, Rolvien T, Hollander K. Does Magnetic Resonance Imaging Grading Correlate With Return to Sports After Bone Stress Injuries? A Systematic Review and Meta-analysis. Am J Sports Med. 2022 Mar;50(3):834-844. doi: 10.1177/0363546521993807.
Fyllos A, Mitrousias V, Raoulis V, Lampridis V, Vassalou E, Karantanas A, Zibis A. Simultaneous bilateral posteromedial tibial epiphysis stress fractures in a healthy young man: A case report. J Musculoskelet Neuronal Interact. 2021 Sep 1;21(3):434-439.
Milgrom C, Zloczower E, Fleischmann C, Spitzer E, Landau R, Bader T, Finestone AS. Medial tibial stress fracture diagnosis and treatment guidelines. J Sci Med Sport. 2021 Jun;24(6):526-530. doi: 10.1016/j.jsams.2020.11.015.
Song SH, Koo JH. Bone Stress Injuries in Runners: a Review for Raising Interest in Stress Fractures in Korea. J Korean Med Sci. 2020 Mar 2;35(8):e38. doi: 10.3346/jkms.2020.35.e38.
Ditmars FS, Ruess L, Young CM, Hu HH, MacDonald JP, Ravindran R, Thompson BP. MRI of tibial stress fractures: relationship between Fredericson classification and time to recovery in pediatric athletes. Pediatr Radiol. 2020 Nov;50(12):1735-1741. doi: 10.1007/s00247-020-04760-8.
Abbott A, Bird M, Brown SM, Wild E, Stewart G, Mulcahey MK. Part II: presentation, diagnosis, classification, treatment, and prevention of stress fractures in female athletes. Phys Sportsmed. 2020 Feb;48(1):25-32. doi: 10.1080/00913847.2019.1636546.
Winters M. The diagnosis and management of medial tibial stress syndrome : An evidence update. Unfallchirurg. 2020 Jan;123(Suppl 1):15-19. English. doi: 10.1007/s00113-019-0667-z.
Wu C, Ho SW, Tan LT. Proximal Tibial Stress Fractures: A Diagnostic Challenge. Ann Acad Med Singap. 2019 Oct;48(10):338-340. PMID: 31875472.
Marshall RA, Mandell JC, Weaver MJ, Ferrone M, Sodickson A, Khurana B. Imaging Features and Management of Stress, Atypical, and Pathologic Fractures. Radiographics. 2018 Nov-Dec;38(7):2173-2192. doi: 10.1148/rg.2018180073. PMID: 30422769.
Gmachowska AM, Żabicka M, Pacho R, Pacho S, Majek A, Feldman B. Tibial stress injuries - location, severity, and classification in magnetic resonance imaging examination. Pol J Radiol. 2018 Nov 5;83:e471-e481. doi: 10.5114/pjr.2018.80218.
Kaeding CC, Miller T. The comprehensive description of stress fractures: a new classification system. J Bone Joint Surg Am. 2013 Jul 3;95(13):1214-20. doi: 10.2106/JBJS.L.00890.
Dobrindt O, Hoffmeyer B, Ruf J, Seidensticker M, Steffen IG, Fischbach F, Zarva A, Wieners G, Ulrich G, Lohmann CH, Amthauer H. Estimation of return-to-sports-time for athletes with stress fracture - an approach combining risk level of fracture site with severity based on imaging. BMC Musculoskelet Disord. 2012 Aug 6;13:139. doi: 10.1186/1471-2474-13-139.
