Atrofia isolada do músculo redondo menor
- 1 de abr. de 2021
- 9 min de leitura
Atualizado: 15 de abr. de 2021
Patrícia Martins e Souza - Abril de 2021
História clínica
Paciente do sexo masculino, 39 anos, esportista com histórico de luxação recidivante do ombro. Solicitada ressonância magnética (RM) do ombro:
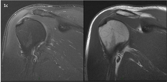
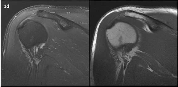
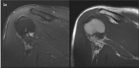
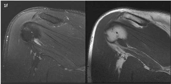
Figura 1 (a-g): Imagens consecutivas de RM no plano coronal nas ponderações DP com supressão de gordura (DP SG) à esquerda e T1 à direita. Clique na seta para passar as imagens.
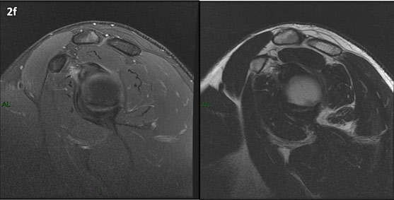
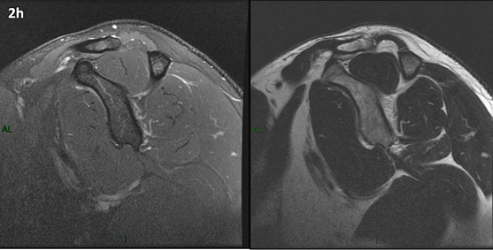
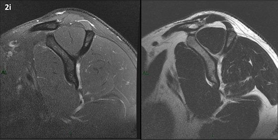
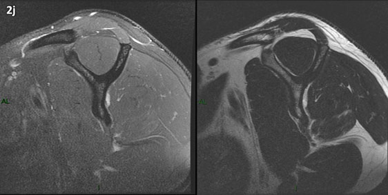
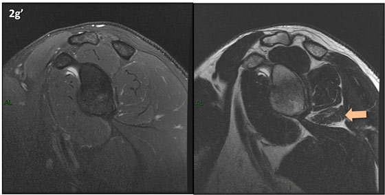
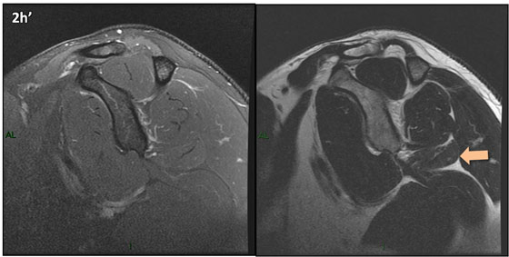
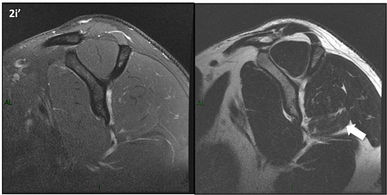
Figura 2 (a-j): Imagens consecutivas de RM no plano sagital nas ponderações T2 com supressão de gordura (DP SG) à esquerda e T2 à direita. Clique na seta para passar as imagens.
Descrição dos achados
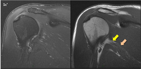
Figura 1 (a-g)': Imagens consecutivas de RM no plano coronal nas ponderações DP com supressão de gordura (DP SG) à esquerda e T1 à direita mostrando . Clique na seta para passar as imagens.
Figura 1a’ mostrando rotura parcial articular na inserção do supraespinhal (setas azuis).
Figuras 1b’ a 1g’ mostrando atrofia da porção superior do músculo redondo menor (seta salmão), com lipossubstituição mais evidente das mais fibras laterais (seta amarela). As fibras mais inferiores e mediais têm atrofia menos evidente.
Repare que estas alterações não são evidentes nas imagens com supressão de gordura.
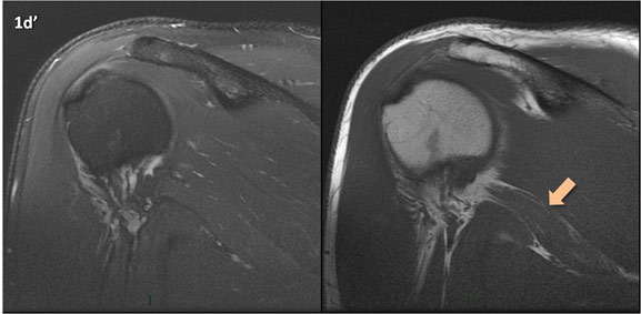
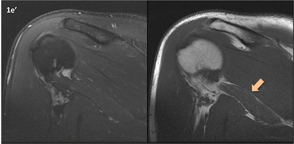
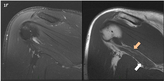
Figura 2 (a-j)': Imagens consecutivas de RM no plano sagital nas ponderaçõesT2 com supressão de gordura (DP SG) à esquerda e T2 à direita. Clique na seta para passar as imagens.
Figura 2a’ mostrando os tendões do subescapular (seta rosa), da cabeça longa do bíceps (seta verde), do supraespinhal (seta vermelha), do infraespinhal (seta laranja) e do redondo menor (seta amarela).
Figuras 2b a 2j’: Acompanhando o tendão do redondo menor (seta amarela fina) é possível notar lipossubstituição ao redor da junção miotendínea (setas amarelas grossas) e a atrofia principalmente da porção mais lateral (seta salmão). A porção mais medial (seta branca) tem volume preservado.
Repare que estas alterações também não são evidentes nas imagens com supressão de gordura no plano sagital.
Discussão
O redondo menor faz parte dos quatro músculos que compõe o manguito rotador (figura 3), localizado na porção posteroinferior do ombro, entre os músculos infraespinhal superiormente e redondo maior inferiormente. Se origina da margem posterolateral da escápula e se insere no tubérculo maior e face lateral do colo cirúrgico do úmero.

Figura 3 (a-b): Representação esquemática dos músculos do manguito rotador em visão anterior (3a), mostrando os músculos supraespinhal superiormente à espinha da escápula e subescapular recobrindo a fossa anterior da escápula. Na visão posterior (3b) é possível identificar os músculos supraespinhal superiormente e infraespinhal inferiormente à espinha da escápula, respectivamente. O músculo redondo menor está localizado inferiormente ao músculo infraespinhal.
O redondo menor atua como estabilizador da articulação glenoumeral, funcionando como depressor e rotador externo do úmero em conjunto com o infraespinhal, sendo responsável por 45% da força de rotação externa quando o braço está em abdução superior a 60°, posição em que o infraespinhal não mais funciona como rotador externo. Além disso, sua função se torna muito importante nos casos de rotura maciça do manguito rotador, em especial quando há acometimento mais extenso do infraespinhal e nos casos candidatos a artroplastia reversa do ombro. Essa função compartilhada com o infraespinhal dificulta a avaliação da fraqueza muscular isolada do redondo menor pelo exame físico.
O teste utilizado para a avaliação do redondo menor é o teste de Horn Blower (figura 4): é solicitado que o paciente em pé faça a rotação externa do ombro contra resistência com o braço elevado a 90° e o cotovelo flexionado a 90°. O teste é positivo se o paciente é incapaz de realizar a rotação externa por dor ou fraqueza.

Figura 4: Teste de Horn Blower - o examinador fica de pé atrás do paciente, que é orientado a realizar rotação externa do ombro contra resistência com o braço elevado a 90° e o cotovelo flexionado a 90°. Modificado de Physiotutors - Hornblower's Sign | Teres Minor & Infraspinatus Insufficiency.
Embora a rotura do tendão redondo menor seja rara, a sua atrofia muscular não é um achado infrequente nos exames de ressonância magnética.
Inicialmente, a atrofia do redondo menor foi atribuída unicamente à síndrome do espaço quadrilateral, descrita por Cahill e Palmer em 1983. O espaço quadrilateral ou quadrangular é definido como a área localizada entre os músculos redondo menor superiormente, redondo maior inferiormente, a cabeça longa do tríceps medialmente e o colo cirúrgico do úmero lateralmente (figura 5).

Figura 5: Representação esquemática do espaço quadrilateral (em azul) em visão posterior (plano coronal), delimitado pelo colo cirúrgico do úmero lateralmente e os músculos redondo menor superiormente, redondo maior inferiormente e a cabeça longa do tríceps medialmente.
Estruturas importantes, como a artéria umeral circunflexa posterior e o nervo axilar passam através do espaço quadrilateral, sendo que o nervo axilar é o responsável pela inervação do redondo menor e do deltoide. Como o nervo axilar é mais fixo no espaço quadrilateral, há maior vulnerabilidade a lesões nesta região.
O nervo axilar (figura 6) se origina do cordão posterior do plexo braquial e contém fibras das raízes ventrais de C5 e C6. Para maiores detalhes do plexo braquial veja a página ANATOMIA – PLEXO BRAQUIAL.

Figura 6: Representação esquemática do plexo braquial mostrando a origem do nervo axilar, formado a partir do cordão posterior, que recebe fibras da divisão posterior do tronco superior dos ramos das raízes cervicais ventrais de C5 e C6.
O seu trajeto inicial é posterior à artéria axilar, passando anteriormente e depois inferomedialmente ao músculo subescapular, antes de atravessar o espaço quadrilateral em direção ao colo umeral, onde se divide nos ramos anterior e posterior. O nervo axilar passa a cerca de 1,2 cm de distância do tubérculo inferior da glenoide.
Após atravessar o espaço quadrilateral o nervo axilar se divide nas porções anterior e posterior (figura 7).
O ramo anterior, o mais superior, se continua como o nervo axilar, curvando-se anteriormente no nível do colo cirúrgico do úmero, mantendo trajeto paralelo à artéria e veia circunflexa umeral posterior, inervando as porções anterior e média do músculo deltoide. A partir do ramo para o deltoide surgem também os ramos cutâneos perfurantes que proporcionam a inervação sensitiva do deltoide.
A porção posterior se divide em 3 ramos terminais:
Ramo posterior do deltoide (motor)
Ramo do redondo menor (motor)
Nervo cutâneo superolateral do braço (sensitivo)

Figura 7: Representação esquemática do nervo axilar e seus ramos em visão posterior atravessando o espaço quadrilateral em direção ao colo umeral, onde se divide nos ramos anterior, inervando as porções anterior e média do músculo deltoide, e o ramo posterior, que se divide em ramos terminais motores para a porção posterior do deltoide e o redondo menor e no ramo braquial cutâneo superolateral responsável pela inervação sensitiva da face lateral do braço.
A síndrome do espaço quadrilateral seria causada pela compressão da artéria circunflexa umeral posterior e do nervo axilar ou um dos seus ramos no seu trajeto no espaço quadrilateral, cujo quadro clínico típico seria dor intermitente e mal localizada na porção posterior do ombro e parestesia no membro superior, geralmente associada a atrofia do redondo menor e também da porção posterior do músculo deltoide, já que ambos são inervados por ramos do nervo axilar.
A síndrome quadrilateral é extremamente rara, o que faz com que sua real epidemiologia seja difícil de determinar, e trabalhos mais recentes consideram que a atrofia isolada do redondo menor parece ser uma entidade clinicamente distinta, sem os sintomas típicos da síndrome do espaço quadrilateral.
Apesar de estudos promissores, a exata etiologia da atrofia isolada do redondo menor ainda não foi completamente determinada e foram propostos diversos mecanismos que podem estar relacionados à lesão do nervo axilar ou seus ramos:
Traumática
Lesão por tração / estiramento
Luxação glenoumeral
Laceração
Fraturas
Lesão cirúrgica
Secundária a roturas do manguito rotador com descentralização da cabeça umeral
Compressão nervosa
A compressão nervosa pode ser secundária a lesões expansivas, osteofito glenoumeral inferior proeminente, calo ósseo ou sequela de fratura, bandas fibrosas ou trombose da artéria umeral circunflexa no espaço quadrilateral, cujos procedimentos propostos seriam a ressecção das lesões expansivas, liberação das bandas e o tratamento da oclusão vascular, conforme cada caso. Entretanto, não é rara a ocorrência concomitante de atrofia dos músculos redondo menor e deltoide sem outros achados de imagem ou sintomas típicos, sugerindo a possibilidade da síndrome do espaço quadrilateral subclínica.
A apresentação clínica dos pacientes com atrofia isolada do redondo menor é variável. Frequentemente é assintomática, mas pode estar associada a dor e instabilidade, entretanto não está relacionada a parestesia nem dor pontual no espaço quadrilateral, como ocorre na síndrome do espaço quadrilateral típica. E, ao contrário da atrofia dos demais músculos do manguito rotador, geralmente costuma ocorrer sem lesão tendínea associada. A eletroneuromiografia tem papel limitado na avaliação da denervação do redondo menor, com alto índice de falso-negativos.
Estudos cadavéricos mais recentes encontraram diversas variantes anatômicas na origem e trajeto da inervação do músculo redondo menor que aumentariam o risco de compressão nervosa ou lesões por tração, que parece ser a atiologia mai sprovável nos atletas.
Chafik et al., em estudos em cadáveres, descreveram que o nervo responsável pela inervação primária do redondo menor tem trajeto tortuoso e, ao entrar no ventre muscular, a fáscia funciona como uma espécie de funda (figura 8), predispondo à compressão nervosa.

Friend et al. em estudos cadavéricos também encontraram algumas variantes anatômicas na origem e trajeto da inervação no contexto da atrofia isolada do músculo redondo menor, sugerindo que algumas poderiam estar relacionadas a maior risco de impacto com subsequente atrofia por denervação (figura 9).



Figura 9 (a-c): Representação esquemática em visão posterior do ombro mostrando algumas das variantes anatômicas encontradas no estudo em cadáveres de Friend et al. Em 9a está representado o padrão convencional, já descrito, em que o nervo axilar se divide nos ramos anterior e posterior ao atravessar o espaço quadrilateral. Em 9b está representada a variante da bifurcação anterior do nervo axilar. Em 9c o ramo para o redondo menor sai diretamente do nervo axilar, e não do ramo posterior.
A atrofia isolada do redondo menor sem sinais de rotura do respectivo tendão é um achado incidental relativamente comum nos exames de ressonância magnética de rotina, com incidência estimada em cerca de 3 a 6,2%.
Essa diferença entre os estudos pode ser em parte explicada pelo reconhecimento ou não de que o músculo redondo menor apresenta duas porções anatomicamente distintas e independentes, uma mais superior, que se insere no tubérculo maior, e outra mais inferior, que se insere no colo cirúrgico do úmero, e que a atrofia pode ocorrer em apenas uma delas e passar despercebida.
Alguns autores não consideram essa divisão em superior e inferior a ideal, uma vez que elas mudam sua orientação de acordo com a posição, subdividindo o músculo redondo menor em dois componentes - um mediodorsal (que se insere no tubérculo maior) e outro lateroventral (que se insere no colo cirúrgico do úmero) de acordo com a localização dominante do ventre muscular nas imagens seccionais (figura 10). A ocorrência de atrofia em apenas um dos componentes do músculo redondo menor indica que cada um teria inervação separada.

Figura 10 (a-b): Representação esquemática em visão posterior (10a), semelhante ao plano coronal, e em visão lateral (9b) no nível da glenoide, semelhante ao observado no plano sagital, dos dois componentes do músculo redondo menor: o que alguns autores consideramcomo o mais superior ou ventrolateral, que se insere no tubérculo maior do úmero, e o mais inferior ou dorsomedial, que se insere na margem lateral do colo cirúrgico do úmero.
Chafik et al. também relataram a presença de um pequeno nervo motor acessório em número variável que se insere na porção lateral do músculo redondo menor. O nervo acessório, ao contrário do principal, tem um curso reto e extra-fascial, sendo menos vulnerável aos efeitos compressivos. De fato, nos casos da atrofia parcial do redondo menor, é mais frequente a atrofia da porção mediodorsal com preservação da porção lateroventral, o que poderia ser explicada pela presença do ramo acessório mais lateral do nervo axilar, embora atrofia isolada do componente lateroventral tenha sido reportada em cerca de 17% dos casos de atrofia de apenas uma porção, o que pode ter sido causada por lesão do nervo acessório. No caso do paciente deste mês, a atrofia é mais evidente nesta porção mais lateral e ventral do redondo menor.
É importante que o protocolo de ressonância magnética do ombro tenha sequências ponderadas em T1, T2 ou densidade protônica (DP) sem supressão de gordura em pelo menos dois planos, idealmente nos planos coronal e sagital, para a detecção de lipossubstituição que pode passar despercebida nas imagens com supressão de gordura.
O plano sagital deve ser paralelo à superfície articular da glenoide e sempre incluir o “Y” da escápula (estendendo-se aproximadamente 4 a 5 cm medial à glenoide) para avaliação muscular adequada. Para maiores detalhes técnicos na marcação do exames de RM do ombro veja a página PROTOCOLOS / OMBRO.
Quer saber mais sobre o redondo menor? Veja o poster que apresentei no European Congress of Radiology em 2014 :D
Leitura sugerida
Aibinder WR, Doolittle DA, Wenger DE, Sanchez-Sotelo J. How common is fatty infiltration of the teres minor in patients with shoulder pain? A review of 7,367 consecutive MRI scans.J Exp Orthop. 2021 Jan 29;8(1):8. doi: 10.1186/s40634-021-00325-2.
Kim MG, Hong EA, Nam YS, Lee JI. Anatomy of the nerves to the teres minor and the long head of the triceps brachii for electromyography. Muscle Nerve. 2021 Mar;63(3):405-412. doi: 10.1002/mus.27122.
Dalagiannis N, Tranovich M, Ebraheim N. Teres minor and quadrilateral space syndrome: A review. J Orthop. 2020 Jan 21;20:144-146. doi: 10.1016/j.jor.2020.01.021. eCollection 2020 Jul-Aug.
Rubin DA. Nerve and Muscle Abnormalities. Magn Reson Imaging Clin N Am. 2020 May;28(2):285-300. doi: 10.1016/j.mric.2019.12.010.
McCrum E. MR Imaging of the Rotator Cuff. Magn Reson Imaging Clin N Am. 2020 May;28(2):165-179. doi: 10.1016/j.mric.2019.12.002.
Kang Y, Ahn JM, Chee CG, Lee E, Lee JW, Kang HS. The pattern of idiopathic isolated teresminor atrophy with regard to its two-bundle anatomy. Skeletal Radiol. 2019 Mar;48(3):363-374. doi: 10.1007/s00256-018-3038-x.
Understanding the Importance of the TeresMinor for ShoulderFunction: Functional Anatomy and Pathology. Williams MD, Edwards TB, Walch G.J Am Acad Orthop Surg. 2018 Mar 1;26(5):150-161. doi: 10.5435/JAAOS-D-15-00258.
Hamada J, Nimura A, Yoshizaki K, Akita K. Anatomic study and electromyographic analysis of the teres minor muscle. J Shoulder Elbow Surg. 2017;26(5):870–7. doi: 10.1016/j.jse.2016.09.046.
Chafik D, Galatz LM, Keener JD, Kim HM, Yamaguchi K. Teres minor muscle and related anatomy. J Shoulder Elbow Surg. 2013;22(1):108–14. doi: 10.1016/j.jse.2011.12.005.
Friend J, Francis S, McCulloch J, Ecker J, Breidahl W, McMenamin P. Teres minor innervation in the context of isolated muscle atrophy. Surg Radiol Anat. 2010 Mar;32(3):243-9. doi: 10.1007/s00276-009-0605-9.









































































Comentários